Anatomical Pathology Interesting Case Conference

Date of Presentation:10/08/2025

Attending pathologist: Anil Parwani, MD, PhD, MBA

Presented by: Anita Kumari

Prepared by: Anita Kumari; Himani Kumar, MD

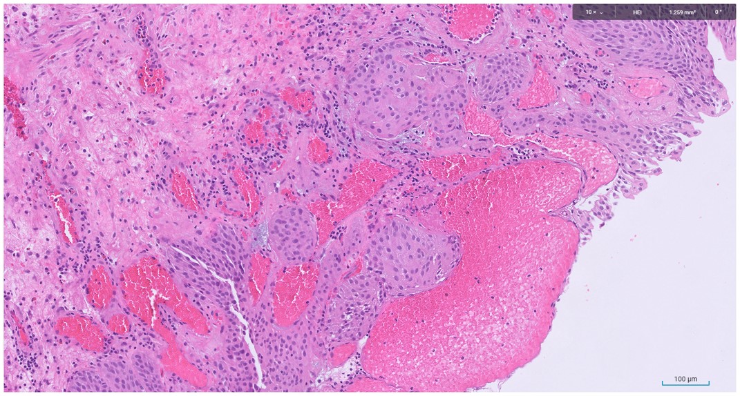
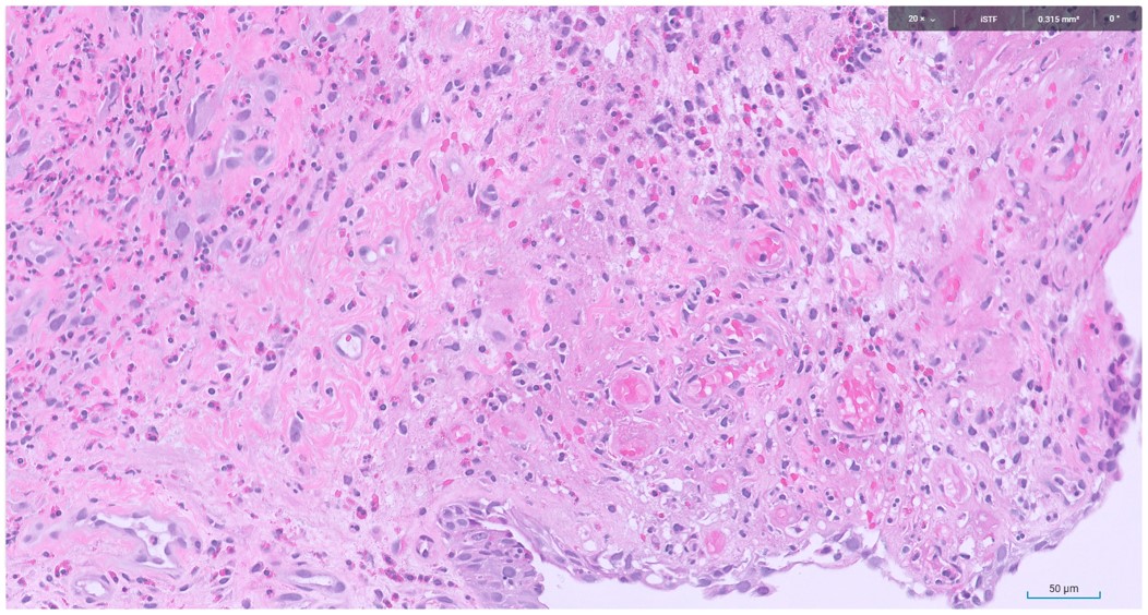
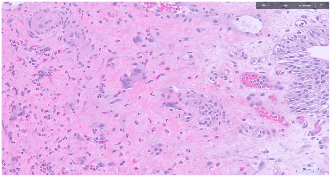
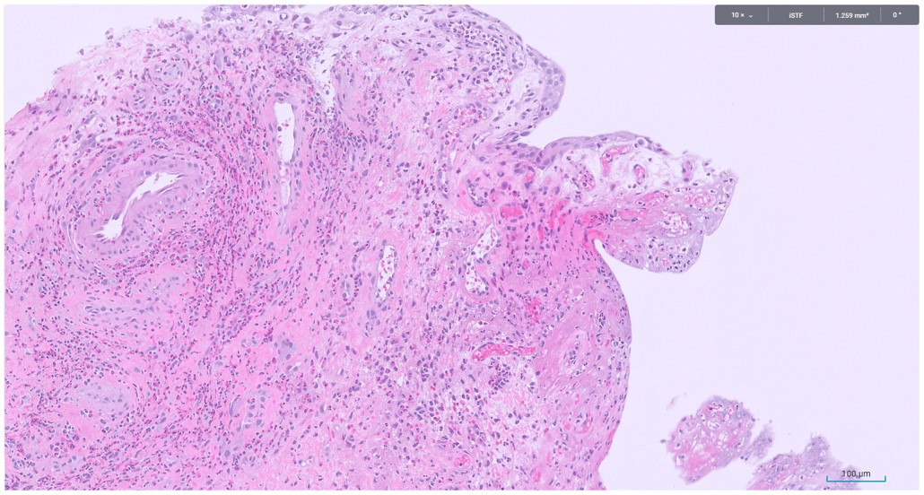
Organ:Bladder

HISTORY:

case 1

Male in 60s with past history of prostate cancer

Presented with hematuria and obstructive urinary symptoms


case 2

Male in 60s with history of prostate cancer

Complaint of hematuria

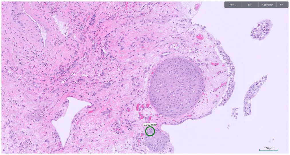
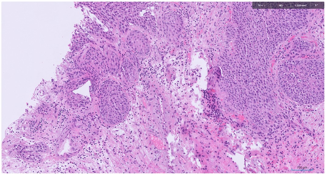
GROSS:

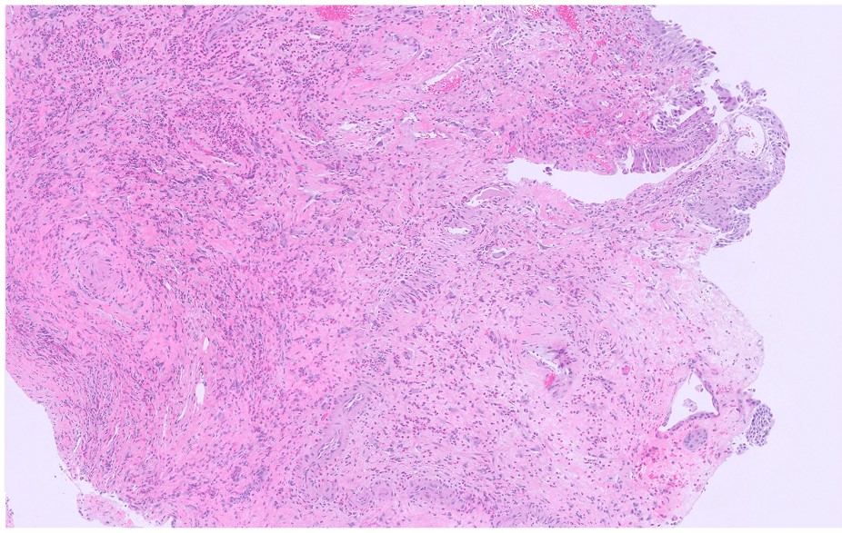
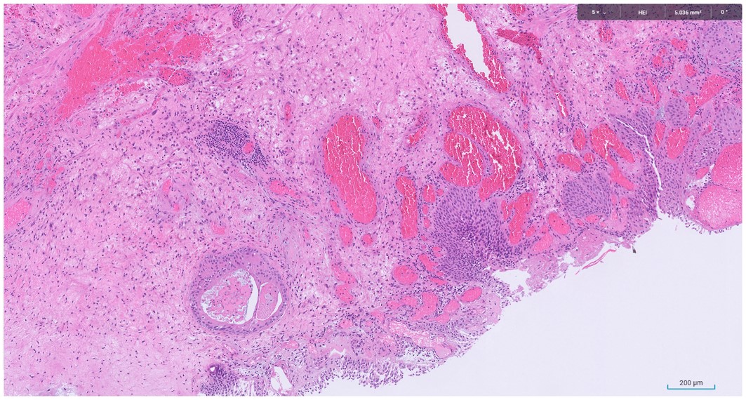
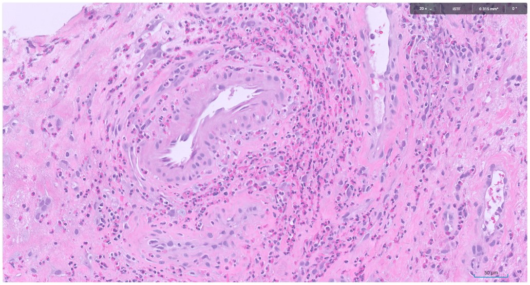
Microscopic image possibly detecting cancerous areas in human tissue
Microscopic image possibly detecting cancerous areas in human tissue
Microscopic image possibly detecting cancerous areas in human tissue
Microscopic image possibly detecting cancerous areas in human tissue
Microscopic image possibly detecting cancerous areas in human tissue
Microscopic image possibly detecting cancerous areas in human tissue
Microscopic image possibly detecting cancerous areas in human tissue
Microscopic image possibly detecting cancerous areas in human tissue
Microscopic image possibly detecting cancerous areas in human tissue
Microscopic image possibly detecting cancerous areas in human tissue

What is the most likely diagnosis?

  1. Radiation cystitis
  2. Cystitis cystica
  3. Invasive urothelial carcinoma
  4. carcinoma in situ
Radiation cystitis