Anatomical Pathology Interesting Case Conference

Date of Presentation:01/15/2026

Attending pathologist: Anil Parwani, MD, PhD, MBA

Presented by: Sneha Datwani, MD; Kenny Chian, BS

Prepared by: Sneha Datwani, MD; Kenny Chian, BS

Organ:Testis

HISTORY:

Male in his 40s with scrotal swelling

History of schizophrenia and depression

A radical orchiectomy specimen

Testicular ultrasound: 11.8 cm mass in right testicle, heterogenous and mass-like in appearance with multiple internal cystic foci of hypervascularity

Post-op CTAP showed a lung mass consistent with squamous cell carcinoma

GROSS:

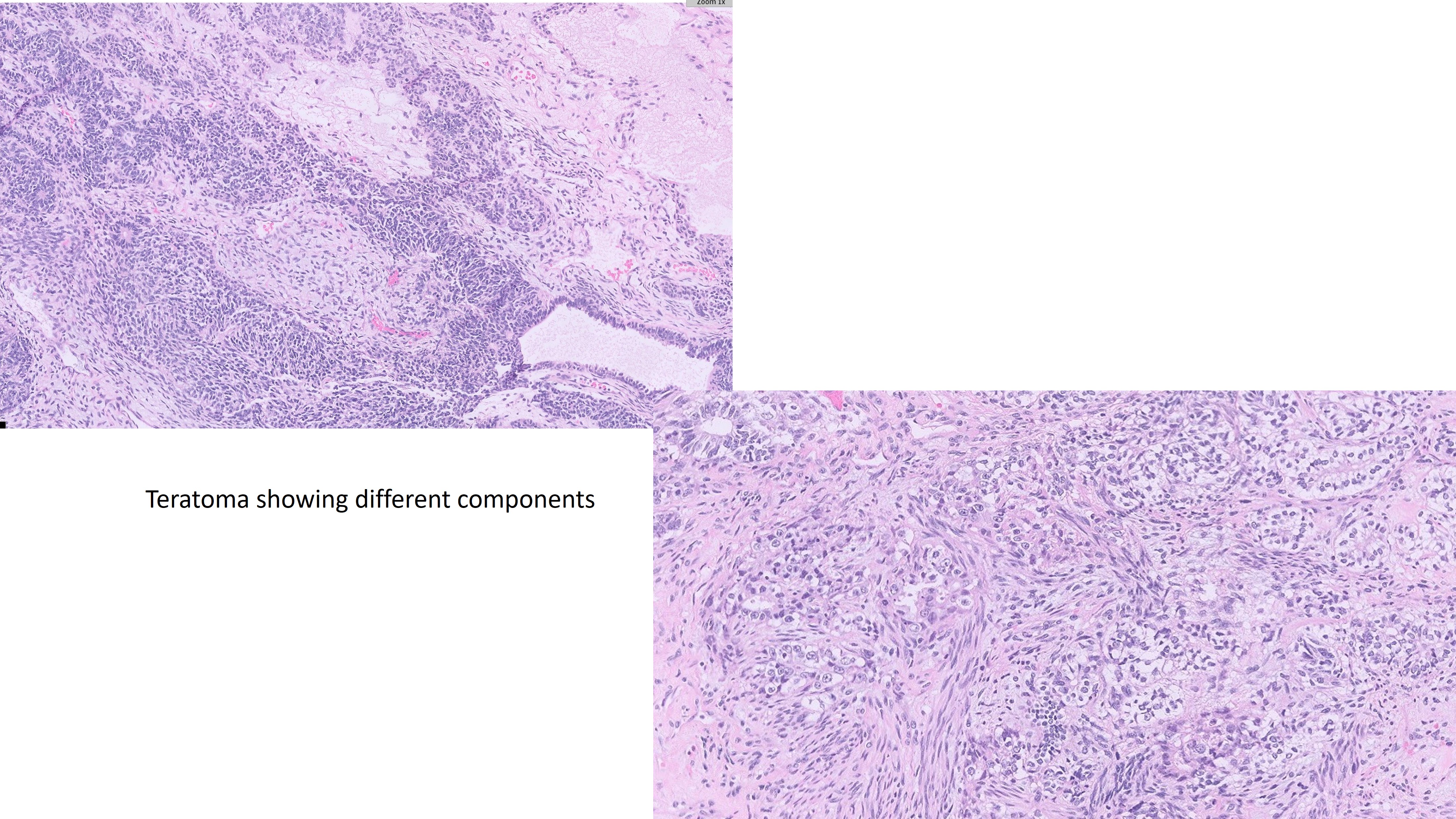
Several types of tissues originating from one or more germinal layers that may be mature (well-differentiated) or immature (embryonic type) teratoma

  • Firm, multinodular heterogenous masses usually having cystic and solid areas

Yolk sac tumors are generally solid gray-white with gelatinous, myxoid, or mucoid appearance

Microscopic image possibly detecting cancerous areas in human tissue
Microscopic image possibly detecting cancerous areas in human tissue
Microscopic image possibly detecting cancerous areas in human tissue
Microscopic image possibly detecting cancerous areas in human tissue
Microscopic image possibly detecting cancerous areas in human tissue

What is the most likely diagnosis?

  1. Seminoma with teratoma
  2. Teratoma with yolk sac plus a neuroectodermal component
  3. Yolk sac tumor only
  4. Chondrosarcoma component arising within a teratoma
Teratoma with yolk sac plus a neuroectodermal component