Anatomical Pathology Interesting Case Conference

Date of Presentation:02/06/2026

Attending pathologist: Anil Parwani, MD, PhD, MBA

Presented by: Sneha Datwani, MD

Prepared by: Sneha Datwani, MD

Organ:Kidney

HISTORY:

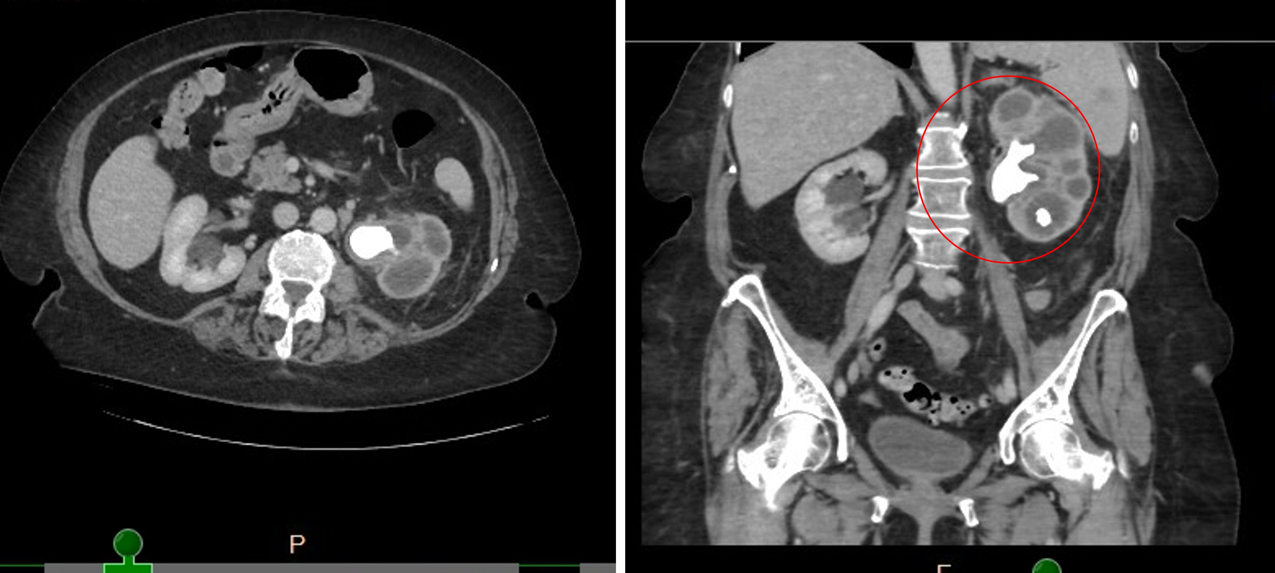
80yr old/ female

History of pyelonephritis, left staghorn calculus, hydronephrosis with left nephrostomy tube placement

GROSS:

Zonal structure may be visible:

  • Inner zone: dilated pelvicalyceal system with necrotic debris.
  • Middle zone: granulation tissues surrounded by lipid laden macrophages (xanthoma cells) giving a yellow-orange appearance.
  • Outer zone: fibrosis may extend into renal fat capsule and beyond; decapsulation of kidney may not be feasible.
Microscopic image possibly detecting cancerous areas in human tissue
Microscopic image possibly detecting cancerous areas in human tissue
Microscopic image possibly detecting cancerous areas in human tissue
Microscopic image possibly detecting cancerous areas in human tissue
Microscopic image possibly detecting cancerous areas in human tissue
Microscopic image possibly detecting cancerous areas in human tissue
Microscopic image possibly detecting cancerous areas in human tissue
Microscopic image possibly detecting cancerous areas in human tissue

What is the most likely diagnosis?

  1. Malakoplakia
  2. Renal tuberculosis
  3. Renal replacement lipomatosis
  4. Xanthogranulomatous pyelonephritis
  5. Clear cell renal cell carcinoma
Xanthogranulomatous pyelonephritisÂ