Anatomical Pathology Interesting Case Conference

Date of Presentation:9/30/2025

Attending pathologist: Anil Parwani, MD, PhD, MBA

Presented by: Anita Kumari

Prepared by: Sansar B Tiwari, MD; Himani Kumar, MD

Organ:Kidney

HISTORY:

Female with past history of papillary thyroid carcinoma

Presented with left renal mass

Radiology: Enhancing mass within left lower pole which measures approximately 5.4x4.7x5.8cm.

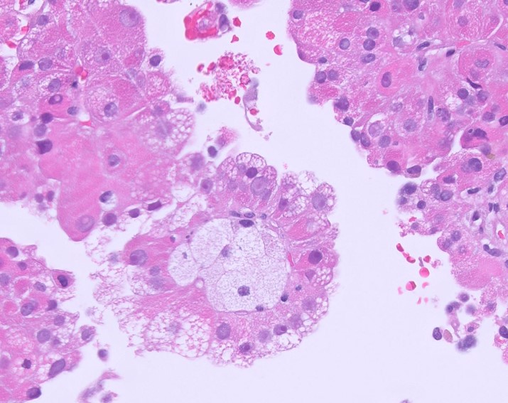
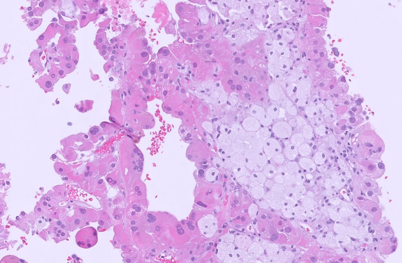
GROSS:

Microscopic image possibly detecting cancerous areas in human tissue
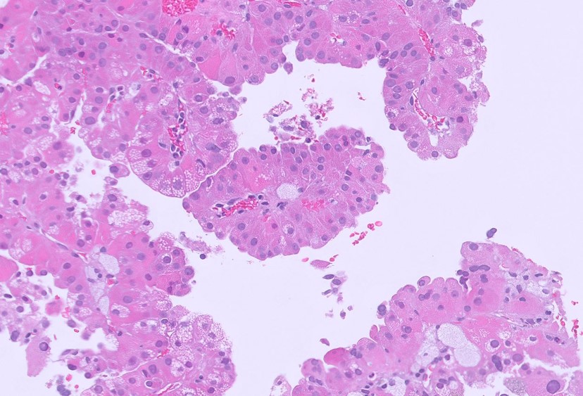
Microscopic image possibly detecting cancerous areas in human tissue
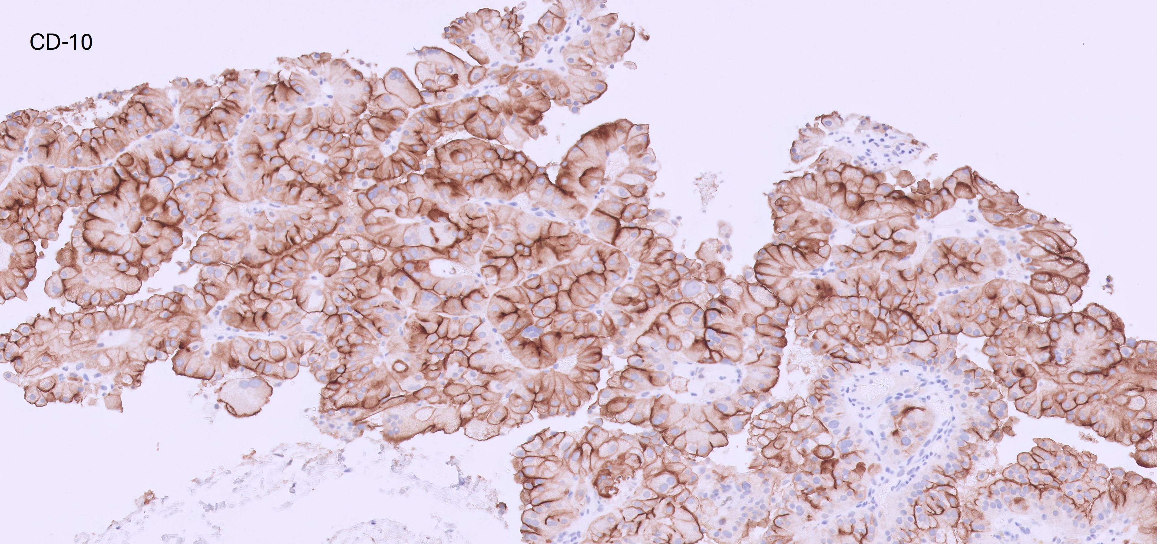
Microscopic image possibly detecting cancerous areas in human tissue
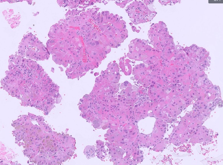
Microscopic image possibly detecting cancerous areas in human tissue
Microscopic image possibly detecting cancerous areas in human tissue
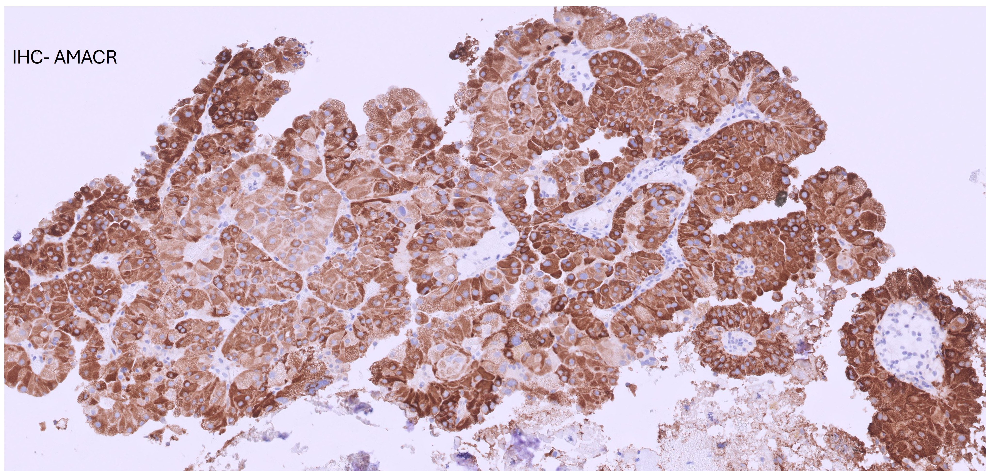
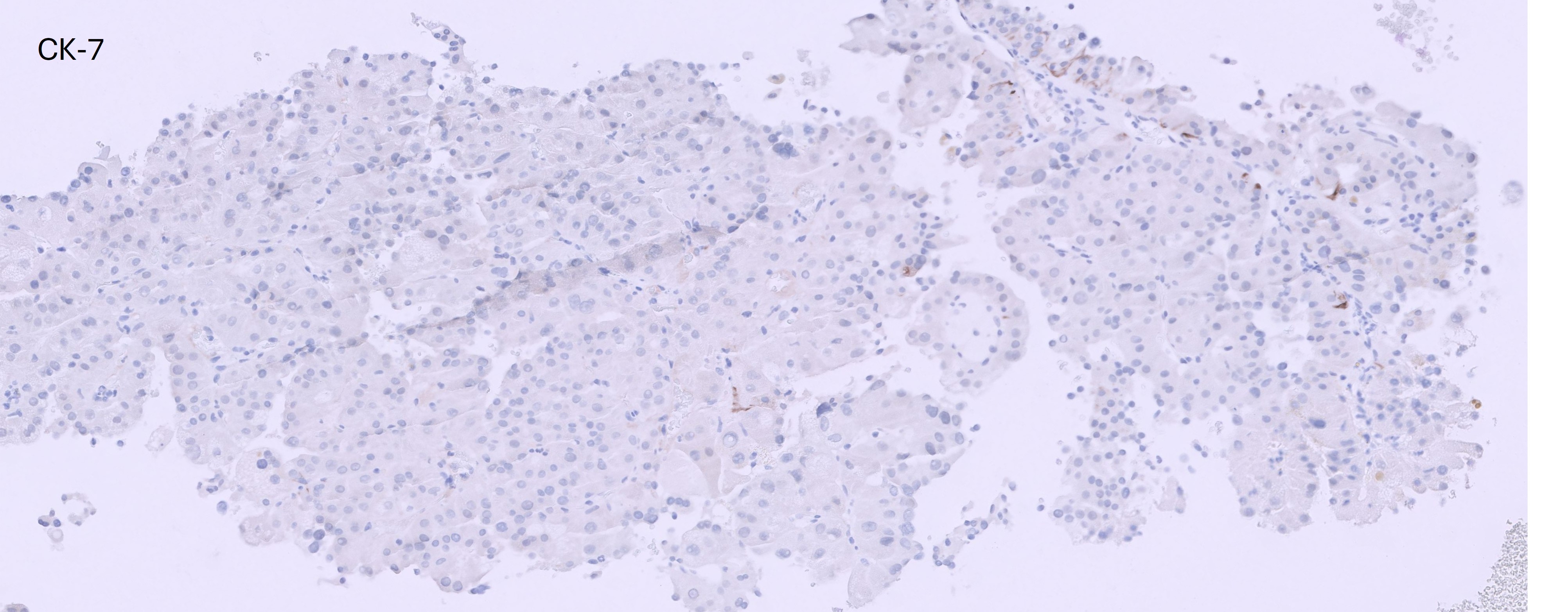
Microscopic image possibly detecting cancerous areas in human tissue
Microscopic image possibly detecting cancerous areas in human tissue
Microscopic image possibly detecting cancerous areas in human tissue
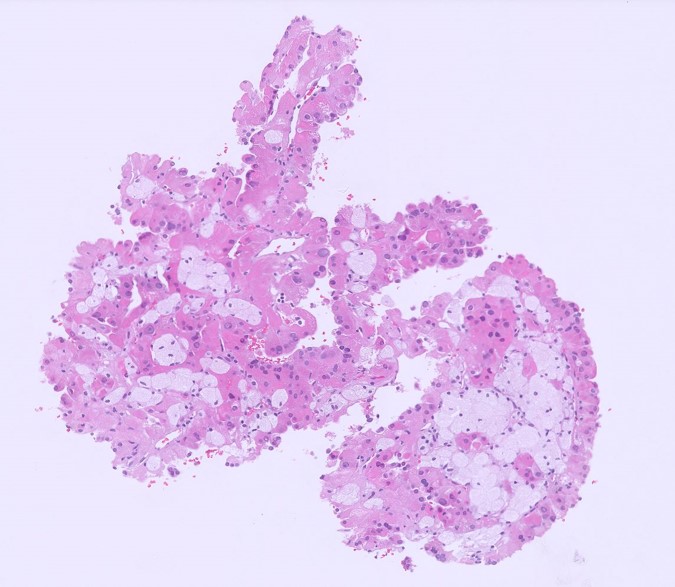
Microscopic image possibly detecting cancerous areas in human tissue
Microscopic image possibly detecting cancerous areas in human tissue

What is the most likely diagnosis?

  1. Clear cell papillary renal cell tumor
  2. Papillary renal cell carcinoma
  3. Papillary renal cell carcinoma, oncocytic variant
  4. Oncocytoma
Papillary renal cell carcinoma, oncocytic variant