Anatomical Pathology Interesting Case Conference

Date of Presentation:01/15/2026

Attending pathologist: Anil Parwani, MD, PhD, MBA

Presented by: Anam Khan, MD; Sneha Datwani, MD

Prepared by: Anam Khan, MD; Sneha Datwani, MD

Organ:Bladder

HISTORY:

A male  in his 80’s with worsening lower urinary tract symptoms: Dysuria, hematuria, increased urinary frequency

On imaging: 1 cm posterior bladder wall tumor, sessile near dome

GROSS:

Thickened, irregular renal pelvis with or without associated papillary component

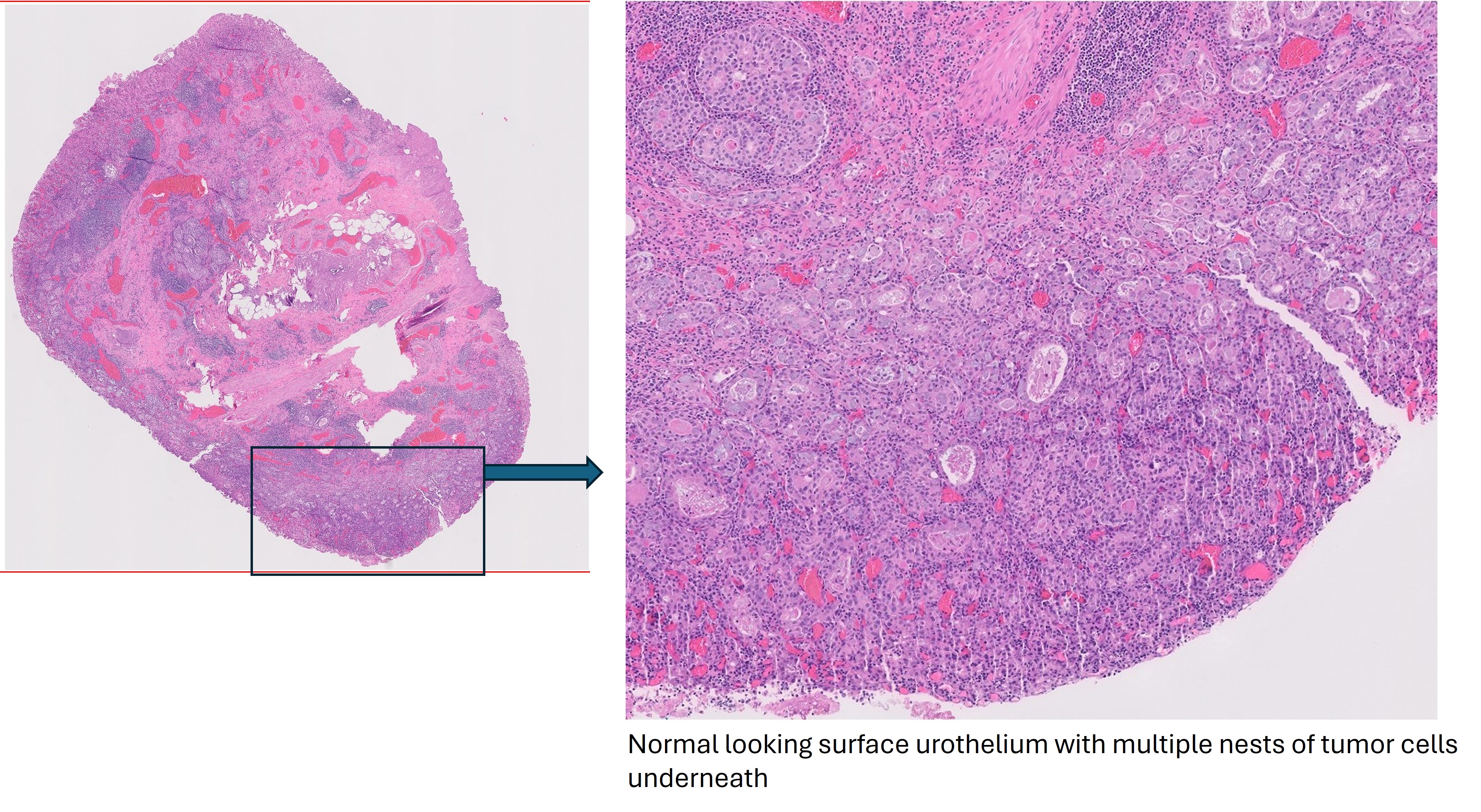
Microscopic image possibly detecting cancerous areas in human tissue
Microscopic image possibly detecting cancerous areas in human tissue
Microscopic image possibly detecting cancerous areas in human tissue

What is the most likely diagnosis?

  1. Von Brunn nests
  2. Cystitis cystica
  3. Inverted papilloma
  4. Nephrogenic adenoma
  5. Adenocarcinoma
  6. Nested Variant Urothelial Carcinoma
Nested Variant Urothelial Carcinoma